Sie scheinen eine veraltete Version der Internet Explorers zu verwenden, die von dieser Webseite nicht unterstützt wird. Bitte nutzen Sie einen Browser wie zum Beispiel Microsoft Edge, Chrome, Firefox oder Safari in einer aktuellen Version.

Darum geht es

Die Untersuchung von Gewebeproben bei Prostatakrebs liefert wertvolle Informationen. Je nach Fragestellung können die Aggressivität und die Ausdehnung und somit das Stadium der Erkrankung beurteilt werden. Dazu wird in der Regel zunächst eine Prostatabiopsie durchgeführt. Wird die Prostata operativ entfernt, dann sind die histopathologische Untersuchung der Schnittränder des Organs und die Untersuchung entfernter Lymphknoten zur Ableitung einer Prognose wichtig. Fragen zu Ihren Gewebeproben können Sie mit Ihrem*Ihrer Urolog*in besprechen. 

Ein Labormitarbeiter mit weißem Kittel sitzt an einem Arbeitsplatz.

Diagnostische Erkenntnisse bei Prostatakrebs durch Gewebeuntersuchungen

Eine Labormitarbeiterin mit Brille sitzt vor einem Mikroskop und untersucht eine Probe

Einen histologischen Befund benötigt man unter anderem, wenn eine mögliche Bösartigkeit einer Gewebeveränderung (Krebs) abgeklärt werden soll. Die sogenannte histopathologische Untersuchung erlaubt außerdem eine Einschätzung hinsichtlich der Aggressivität und der Ausdehnung des Tumors. Hieraus ergibt sich in der Regel auch das Tumorstadium.1

Vermutlich kennen Sie dies aus der Zeit Ihrer Erstdiagnose, als Gewebeproben aus der Prostata entnommen wurden (Biopsie). Solche Gewebeproben werden anschließend im Labor auf folgende Punkte untersucht:2

  • Finden sich Tumorzellen in den einzelnen Gewebeproben und wenn ja in wie vielen?
  • Wie stark sind die einzelnen Gewebeproben befallen?
  • Welche Art von Tumorzellen liegt vor und wie aggressiv sind sie?

Die Histopathologie bezeichnet die Untersuchung von Gewebeproben oder Organen auf mögliche krankhafte Veränderungen auf mikroskopischer Ebene. Der Begriff setzt sich zusammen aus Histo-, griechisch histos = Gewebe, und -pathologie, griechisch páthos = Krankheiten. 

Die Gewebeproben werden z. B. im Rahmen von Biopsien und Operationen entnommen. Anschließend werden sie als Gewebeschnitte aufbereitet und unter dem Mikroskop von dem*der Patholog*in begutachtet.1 
 

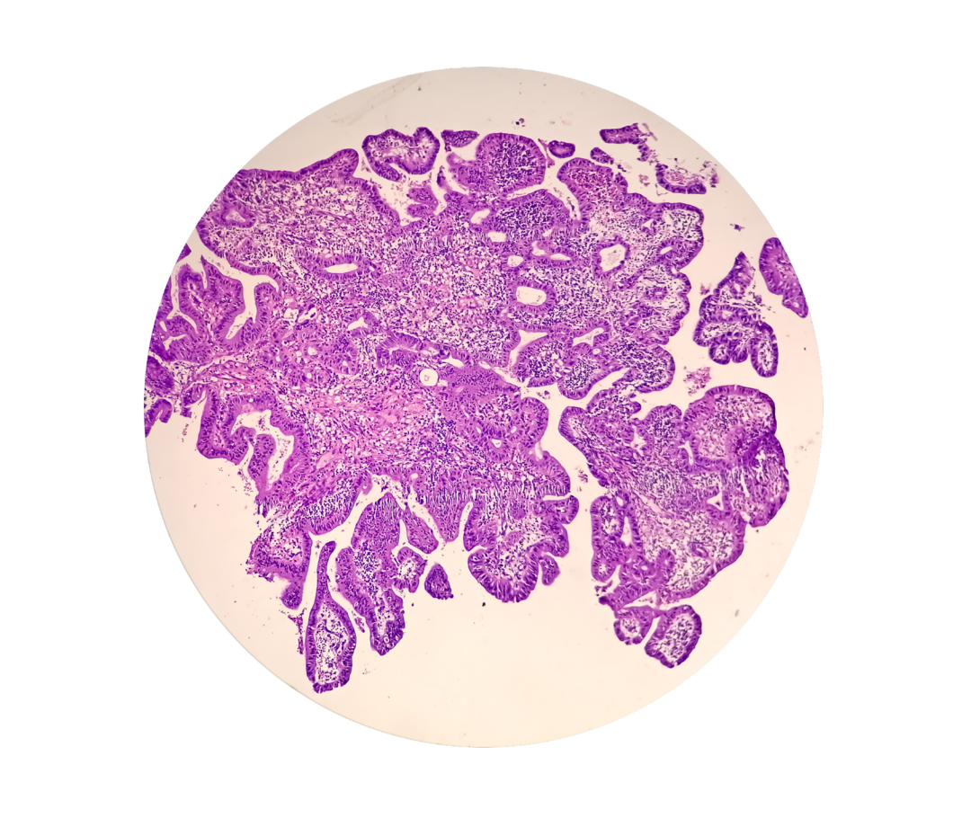
Es ist ein histologischer Schnitt von Prostatakrebsgewebe zu sehen.

Abb. 1 Mikroskopisches Bild von Prostatakrebsgewebe. 

Die Aggressivität der Prostatakrebszellen wird daran gemessen, wie stark sie sich von den Ursprungszellen in der gesunden Prostata unterscheiden. Sehen sie den natürlichen Prostatazellen noch sehr ähnlich, stuft man die Erkrankung als wenig aggressiv ein, das heißt, der Tumor wächst vermutlich eher langsam und bildet weniger wahrscheinlich Metastasen. Die Bewertungsskala für die Aggressivität ist der Gleason-Score (Tabelle). Dafür bestimmt der*die Patholog*in das am häufigsten vorkommende sowie das aggressivste Wachstumsmuster (siehe Abb. 2) der Krebszellen in der Biopsie. Diese beiden Werte werden zum Gleason-Score zusammengerechnet. Der Gleason-Score spielt außerdem eine wichtige Rolle für die Behandlungsplanung.2,3 

 
Gleason-ScoreAggressivität
6 (3 + 3)Kaum
7a (3 + 4)Gering
7b (4 + 3)Mäßig
8 (3 + 5) (5 + 3) (4 + 4)Stark
9 bis 10Sehr stark

Tabelle nach 2)

Schematische Darstellung der Zellmuster im Gleason-Score.

Abbildung 2

Abgebildet ist ein Paraffinblock, in dem Gewebe in der Pathologie für Feinschnitte aufbereitet wird.

Falls die Prostata entfernt wurde, wird auch hier eine detaillierte histopathologische Untersuchung durchgeführt. Zum einen wird am entnommenen Organ anhand seiner Schnittränder überprüft, ob noch entartete Zellen im Körper verblieben sein können. Sind die Schnittränder tumorfrei (R0), so ist das Rückfallrisiko geringer.4 Zum anderen werden die der Prostata naheliegenden Lymphknoten teilweise mit entfernt, um zu untersuchen, ob sie von Krebszellen befallen sind. Wenn ja, bedeutet dies, dass sich der Krebs bereits ausgebreitet hat (metastasiertes Stadium). Damit gibt diese Untersuchung zusätzlich Auskunft über die Ausdehnung und damit das Stadium der Erkrankung.2

Eine Besonderheit ist das Schnellschnittverfahren: Hier werden noch während der Operation Gewebeproben und Schnittränder untersucht, um sofort entscheiden zu können, ob noch mehr entfernt werden muss.

Gewebeproben in der metastasierten Situation

Beim metastasierten Prostatakrebs werden die entnommenen Gewebe im Anschluss an Operationen untersucht.

Bis vor einigen Jahren war die operative Entfernung von Metastasen beim Prostatakarzinom kaum relevant. Wurden Metastasen festgestellt, handelte es sich meist um Knochenmetastasen.5 Durch die Verbreitung von kombinierten Bildgebungsverfahren wie SPECT/CT und PSMA-PET/CT hat sich die Situation allerdings geändert. Beispielsweise durch die PSMA-PET/CT können einzelne vorliegende Metastasen erkannt werden, bevor sich die Erkrankung weit ausgebreitet hat (oligometastasierte Erkrankung). So können einzelne Lymphknotenmetastasen auffindbar sein, ohne dass schon Fernmetastasen in Organen oder Knochen vorliegen.5 In solchen speziellen Fällen kann eine operative Entfernung von Metastasen (dann meist Lymphknotenmetastasen) möglicherweise sinnvoll sein. Dies ist vom Einzelfall und der medizinischen Fragestellung abhängig. Das entfernte Gewebe wird dann histopathologisch untersucht.

Das könnte Sie auch interessieren

Ein Arzt und eine Ärztin stehen nebeneinander und betrachten einen Befund

Behandlung

Es gibt eine Vielfalt an Behandlungsoptionen für den metastasierten Prostatakrebs. Hier wird erklärt, wie die verschiedenen Therapien funktionieren und wann sie eingesetzt werden.

Ein Mann blickt in die Kamera und lächelt.

Hormonsensitiver metastasierter Prostatakrebs 

Das metastasierte hormonsensitive Prostatakarzinom (mHSPC) ist ein fortgeschrittenes Stadium. Die Hormonempfindlichkeit bietet eine therapeutische Chance.  

Ein Mann mit Brille blickt etwas nach unten und liest.

Hormonresistenter metastasierter Prostatakrebs 

Das Wichtigste zum metastasierten hormonresistenten Prostatakarzinom (mCRPC). Was es bedeutet, wenn der Prostatakrebs fortschreitet und was man trotzdem noch dagegen tun kann. 

Medizinischer Infoservice Novartis

Telefon

0911 273 12100
Mo – Fr 08.00 – 18.00 Uhr

Fax

Fax
0911 273 12160

Quellen:

  1. Alb Fils Kliniken. Histopathologie/Feingewebliche Untersuchung. https://www.alb-fils-kliniken.de/pathologie/schwerpunkte/histopathologien-feingewebliche-untersuchung/. Abgerufen am 07.08.2024.
  2. Leitlinienprogramm Onkologie (Deutsche Krebsgesellschaft, Deutsche Krebshilfe, AWMF). Patientenleitlinie II – Lokal fortgeschrittenes und metastasiertes Prostatakarzinom. Vierte Auflage, 2018. https://www.leitlinienprogramm-onkologie.de/fileadmin/user_upload/Downloads/Patientenleitlinien/Patientenleitlinie_Prostatakrebs_2-184-0011web.pdf. Abgerufen am 07.08.2024.
  3. ALTA Klinik. Gleason-Score: Risiko und Prognose eines Tumors. https://www.alta-klinik.de/prostata/prostatakrebs/gleason-score/. Abgerufen am 07.08.2024.
  4. Deutsche Gesellschaft für Urologie u. a. S3-Leitlinie Prostatakarzinom. Stand Mai 2024. https://register.awmf.org/assets/guidelines/043-022OLl_S3_Prostatakarzinom_2024-06.pdf. Abgerufen am 06.08.2024.
  5. Fröhner M., Wirth M. Metastasenchirurgie beim Prostatakarzinom. Urologe A. 2017 Aug; 56(8): 1017–1018.